Categories
England Existential Angst Heros Heros - NOT

Humble Orthodontia

Today we explore the State of British Orthodontia, as seen through the teeth of Paula Vennells.
[Thanks to Sally T. Intern for today’s topic!]


But first…. A Little Background

Paula Anne Vennells (born 21 February 1959) is a British businesswoman who was the chief executive officer of Post Office Limited from 2012 to 2019. She is also an Anglican priest.

Vennells was the CEO of Post Office Ltd during the final three years of the British Post Office scandal, which occurred between 1999 and 2015 and involved more than 900 subpostmasters being wrongly convicted of theft, false accounting and fraud because of apparent shortfalls at their branches that were acknowledged as errors of the Horizon accounting software used by the Post Office.

In 2019, Vennells became the chair of the Imperial College Healthcare NHS Trust, but left the role the following year. In 2021, after the convictions of 39 subpostmasters were quashed, she resigned from her duties as an Anglican priest and non-executive directorships at the retailer Dunelm and the supermarket chain Morrisons. Her appointment as CBE in 2019 was revoked in 2024.

Wikipedia

There seems to be a pattern here….

Unilever, as WLBOTT discussed on Sept. 11, 2023 (https://www.wlbott.com/?p=4303) is a one of the worst money-grubbing, woke-washing, psychopathic companies on the planet. They are funding Russia’s war against Ukraine while promoting “positive body images” to sell their useless crap.


In case you’re worried, she came out okay….


Computer Weekly is the Hero in this Story

Computer Weekly has played an important part in exposing what has been described as the widest miscarriage of justice in UK history.

Who is Paula Vennells?

Paula Vennells, a former Anglican priest, was CEO of the Post Office from 2012 to 2019 after serving in other senior roles at the organisation. She was awarded a CBE for services to the Post Office in 2019.

She jumped ship just prior to the damaging High Court judgment, which slammed the management of the company that punished subpostmasters for mistakes made by its own computer system. She took more than £400,000 in pay and bonuses with her.

There are calls for her to be stripped of her CBE because of her role in the Post Office scandal. Last year, Alan Bates turned down an OBE because he believed it would be “inappropriate” while victims still suffer and one of the scandal’s architects retains her honour.

Computer Weekly

When did Paula Vennells get her CBE and has she returned it?

Paula Vennells was awarded a CBE in 2019 for services to the Post Office and charity, seven years after stepping into the role of Post Office Chief Executive. She stepped down from the role shortly after receiving the award.

After an outcry of fury over the Post Office scandal, Paula announced she would be returning her CBE on Tuesday, 9th January, in a statement where she apologised for her part in the wrongful prosecution of Post Office workers.

Paula said she was “truly sorry for the devastation caused to the sub-postmasters and their families, whose lives were torn apart by being wrongly accused and wrongly prosecuted as a result of the Horizon [accounting software] system”.

Heart.co.uk

Back to the Orthodontia

WLBOTT: Okay, my friend. Now for something completely different. I want to you use all your skills, all your knowledge, and all your wisdom. Are you ready?

ChatGPT: Absolutely, I’m ready! What’s the challenge?

WLBOTT: Do female Anglican priests have worse dental hygiene that the general population?

ChatGPT: As of my last update in January 2022, there’s no empirical evidence or credible research indicating that female Anglican priests, or any specific demographic group of Anglican priests, have worse dental hygiene than the general population or any other comparable demographic group. Dental hygiene is typically influenced by individual habits, access to dental care, socioeconomic factors, and overall health practices rather than specific religious or occupational affiliations.

If you’re interested in exploring dental hygiene trends or patterns within specific populations, it would be important to conduct a well-designed study that considers various factors affecting dental health. Without such research, it would be speculative to make assumptions about the dental hygiene of female Anglican priests or any other group.

ChatGPT

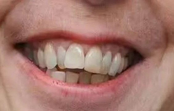
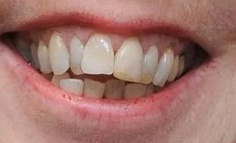
We hate to contradict our pal Chat, but we have photographic evidence:


A Missed Casting Opportunity

Paula Vennells, the former CEO of the British Post Office, is portrayed by Lia Williams in episode 3 of Mr Bates vs The Post Office, a four-part series that premiered on PBS’ Masterpiece on April 7, 2024. The series is based on the true story of almost 1,000 subpostmasters who were wrongly convicted of fraud, theft, and false accounting.

Google AI

Lia Williams plays Paula Vennells:


But What If…. She were played by Tilda Swinton?

As the Anglican priest….



As La Postal Jefa….


Receiving the CBE….


Staying Humble

At WLBOTT, we’re constantly giving each other awards and bonuses for our Humility, but to date we haven’t exchanged the CBE.

What is the CBE?

Commander of the Order of the British Empire (CBE) is an award given to people who have made a prominent but lesser role at national level, or a leading role at regional level. It can also be awarded for a distinguished, innovative contribution to any area. The CBE is the highest ranking Order of the British Empire level, excluding a knighthood / damehood. It is considered a high honor, and recipients may use the title “Commander“.

– Google AI

So what’s the deal with all these medals?

This is getting a little Hyper-Masculine, comrades….


Can we get a little recognition for our Humility?

WLBOTT: We are interested in becoming recognized as the humblest corporation on earth. We hope to win many awards and medals for being humble. How do you suggest we go about this?

ChatGPT: Becoming recognized as the humblest person on earth while also seeking awards and medals might present a bit of a paradox, as humility often involves a lack of desire for recognition or accolades. However, if you’re genuinely interested in embodying humility and spreading its virtues, here are some suggestions:

1. **Authenticity**: Focus on genuinely practicing humility in your daily life. This means being modest, showing empathy and respect for others, and acknowledging your own limitations and mistakes.

2. **Service to Others**: Engage in acts of service and kindness without seeking recognition or reward. Volunteer in your community, help those in need, and strive to make a positive impact without expecting anything in return.

3. **Gratitude**: Cultivate a sense of gratitude for what you have and express appreciation for the contributions of others. Recognize that your achievements are often the result of the support and efforts of many people.

4. **Listen and Learn**: Be open to feedback and willing to learn from others, regardless of their status or background. Humility involves recognizing that everyone has something valuable to offer.

5. **Avoid Self-Promotion**: Refrain from boasting or drawing attention to your own accomplishments. Instead, shine the spotlight on others and celebrate their successes.

6. **Stay Grounded**: Remember that humility is an ongoing journey, not a destination. Stay humble even as you receive recognition or awards, and don’t let them inflate your ego.

Ultimately, the true measure of humility lies not in external accolades or titles, but in the way you live your life and treat others with kindness, respect, and humility.

WLBOTT: Sorry, I meant this as a joke. It would be like having the Humble Olympics.

ChatGPT: Ah, got it! That’s a clever concept for a joke! Imagining a “Humble Olympics” is quite amusing. You could create a lighthearted spoof where contestants compete in events like “Least Boastful Speech,” “Most Gracious Acceptance of Compliments,” or “Speedy Apologies.” It could be a fun way to playfully explore the idea of humility in a humorous context. If you need help brainstorming more event ideas or crafting the joke, feel free to bounce ideas off me!

Chat GPT

The Olympics of Humble People